

Cepillarse los dientes parece suficiente para una higiene bucal óptima, sin embargo, en muchas ocasiones no es suficiente para evitar el sarro. La culpa no es del cepillo sino de todo lo que no se hace: entender cómo se forma el sarro es el primer paso para frenar su avance.
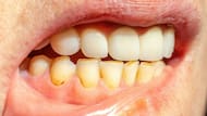
El sarro (también llamado tártaro o cálculo dental) es placa bacteriana que, si no se elimina a tiempo, se mineraliza y se endurece sobre la superficie de los dientes.
Una vez que esto pasa, ningún cepillo del mundo puede removerlo: solo un dentista puede hacerlo.
Por este motivo el foco tiene que estar en la prevención y no en el tratamiento.
Por qué el cepillado solo no alcanza
El problema más común es creer que cepillarse bien dos veces al día es suficiente. No lo es porque el cepillo no llega a los espacios entre los dientes ni a la zona del borde de las encías, que es justamente donde el sarro se acumula con más facilidad.

El hilo dental y el cepillo interdental son los complementos que marcan la diferencia. Pasarlos una vez por día (si es a la noche, mejor) elimina los restos de comida y la placa de los lugares donde las bacterias trabajan.
Otro aliado que pocas personas usan pero que los especialistas recomiendan cada vez más es el irrigador bucal, un dispositivo que limpia con agua a presión zonas que ningún otro elemento puede alcanzar.
Qué hábitos frenan la formación de sarro
Más allá de la rutina de higiene, hay factores del día a día que influyen directamente en cuánto sarro se acumula. Estos son los puntos clave a tener en cuenta:
- Cepillado correcto: al menos dos minutos, tres veces al día, cubriendo todas las caras de cada diente con movimientos circulares y suaves.
- Pasta con flúor: refuerza el esmalte y dificulta que la placa se adhiera.
- Hilo dental o cepillo interdental: una vez al día, preferentemente antes de dormir.
- Dieta equilibrada: reducir el azúcar y los alimentos procesados limita la actividad bacteriana, en cambio, las manzanas, las zanahorias y otros alimentos ricos en fibra limpian de forma natural y estimulan la producción de saliva.
- Evitar fumar: el tabaco acelera la acumulación de sarro y dificulta su control.
- Visita al dentista: al menos una vez al año para una limpieza profesional, o cada seis meses si se tiene tendencia a acumularlo.

Los remedios caseros, ¿funcionan?
Mucha gente recurre al bicarbonato de sodio, al vinagre de manzana o al agua oxigenada con la idea de disolver el sarro en casa.
- El bicarbonato puede ayudar a prevenir su formación si se usa ocasionalmente, pero el exceso daña el esmalte dental.
- El vinagre y el agua oxigenada son desaconsejados por profesionales por el riesgo de erosión.
Una vez que el sarro ya está formado, no hay remedio casero que lo elimine de forma segura: la única solución real es la limpieza profesional. La clave está en estar atento antes que eso pase.


















