

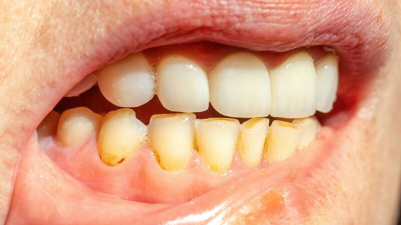
Uno de los problemas más frecuentes en la salud bucal es la formación desarro. Esta situación, que surge por un inadecuado cuidado de los dientes, puede ocasionar inflamación e irritación en las encías, además de mal aliento.
Para combatirlo, muchos optan por una diversidad de productos farmacéuticos y tratamientos costosos. Sin embargo, existe una mezcla casera igual de eficaz y sin productos químicos perjudiciales para la salud.
¿Por qué se acumula sarro en los dientes?
Entre las causas que producen la aparición y acumulación de sarro en los dientes se destacan las siguientes:
- Una deficiente higiene bucodental o una técnica de cepillado dental incorrecta.
- Las personas con malposición dental son más propensas a la acumulación de sarro, ya que es más complicado acceder a algunas zonas dentales durante la limpieza oral.
- Consumo de tabaco y alcohol.
- Tener sequedad en la boca.
- Consumo constante de alimentos y bebidas altamente azucaradas.
- Factores genéticos.
- Algunos medicamentos también pueden favorecer la aparición de sarro.

El remedio casero para eliminar el sarro de los dientes
Si deseas eliminar el sarro de los dientes y lograr una sonrisa brillante, hay un truco casero que resalta por sus notables ventajas.
Para ello, solo necesitas mezclar dos elementos comunes en todos los hogares: bicarbonato de sodio y sal. Esta combinación es ampliamente reconocida y utilizada por su eficacia en el cuidado de una adecuada higiene bucal.
El primer paso consiste en mezclar en un recipiente el bicarbonato de sodio y la sal con agua para formar una pasta. Luego, debes sumergir el cepillo de dientes mojado en la mezcla y comenzar a cepillar las áreas con mayor acumulación de sarro. Finalmente, enjuaga la boca con agua para eliminar los restos de la pasta.

Es fundamental recordar que este método casero debe aplicarse con regularidad, ya que su uso excesivo o incorrecto puede causar diversos efectos secundarios. Por eso, se recomienda usarlo solo dos veces por semana para no debilitar el esmalte y evitar la sensibilidad dental.
Consecuencias de la acumulación de sarro en los dientes
La acumulación de sarro en los dientes puede causar numerosas consecuencias negativas para la salud. Entre ellas se encuentran:
- Daño en las encías: el sarro provoca inflamación, sangrado, retracción y cambio de color. Estos síntomas pueden llevar a enfermedades periodontales como la gingivitis o la periodontitis.
- Mal aliento: las bacterias acumuladas generan compuestos sulfurados volátiles que afectan la frescura del aliento.
- Debilitamiento del esmalte dental: esto puede causar caries.
- Riesgo de enfermedades sistémicas: como enfermedades cardiovasculares y artritis.













