

La aspiración de exhibir una sonrisa radiante es un anhelo común entre muchas personas, ya que puede incrementar nuestra sensación de confianza y transformar significativamente nuestra forma de enfrentar las actividades cotidianas.
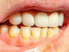
En este contexto, una de las inquietudes más recurrentes es identificar el método más eficaz para blanquear los dientes de manera casera, dado que, con el transcurso del tiempo y la ingesta de ciertos alimentos, es posible que estos hayan adquirido un tono amarillento.
Por lo tanto, existe un método casero que facilita esta tarea y, de manera sencilla y económica, puede ayudarte a blanquear tu dentadura. A continuación, te explicamos en qué consiste.

¿Cuáles son las causas del amarillamiento dental?
El sitio especializado Tua Saúde señala que la decoloración amarillenta de los dientes puede ser atribuida a múltiples factores. Entre estos, se destacan el envejecimiento, que provoca el desgaste del esmalte dental, así como la predisposición genética. Además, el consumo de cafeína y el hábito de fumar también pueden contribuir a esta alteración estética.
Un enfoque práctico, asequible y fácil para lograr dientes más blancos
El bicarbonato de sodio se destaca como uno de los componentes más eficaces para el blanqueamiento dental, ya que sus propiedades permiten eliminar las manchas amarillas y favorecer un entorno bucal alcalino, lo que a su vez previene la proliferación de bacterias.
Para su aplicación, se recomienda combinar una cucharadita de bicarbonato de sodio con dos de agua y utilizar la pasta resultante para cepillar los dientes. No obstante, es fundamental limitar este procedimiento a un máximo de tres veces por semana, ya que un uso excesivo podría comprometer la integridad del esmalte dental. Alternativamente, se pueden considerar pastas dentales que incluyan este ingrediente blanqueador.
No obstante, es esencial que este método sea respaldado y supervisado por un profesional de la salud.
Consejos para prevenir el amarillamiento dental
Para mantener la tonalidad de nuestros dientes, es fundamental incorporar ciertos hábitos en nuestra rutina de higiene bucal. Estos hábitos no solo contribuyen a la estética dental, sino que también son esenciales para la salud oral en general.













