

- Cuál es la solución ideal para eliminar el sarro de los dientes
- Enfermedades bucales comunes: gingivitis, periodontitis, caries y más
- ¿Cómo eliminar el sarro dental y con qué frecuencia visitar al odontólogo?
- ¿Cuáles son las mejores técnicas para cepillarse los dientes y prevenir la acumulación de sarro?
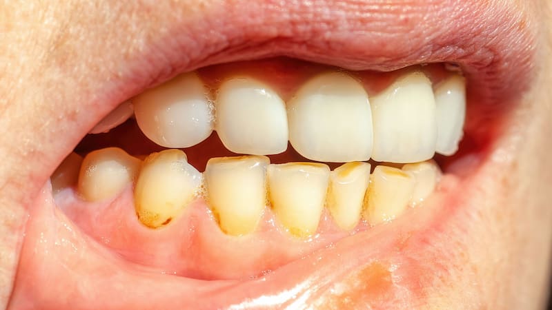
El sarro dental se forma por una película bacteriana mineralizada que se adhiere entre las encías y los dientes, provocando serios problemas de salud bucal.
Para prevenir la acumulación de sarro, es fundamental mantener una correcta higiene dental, cepillando los dientes dos o tres veces al día y utilizando hilo dental para eliminar la placa.

Cuál es la solución ideal para eliminar el sarro de los dientes
La forma más efectiva de eliminar el sarro de los dientes es mediante una limpieza regular realizada por un odontólogo. Las visitas al dentista para eliminar la placa deben hacerse cada 6 meses o, al menos, una vez al año, según la propensión del paciente a sufrir esta condición.
La acumulación de sarro en los dientes puede causar diversas enfermedades que afectan la salud y la estética bucal, ya que las bacterias acumuladas en la línea de las encías pueden provocar su retracción, dejando expuestas las raíces del diente y aumentando el riesgo de pérdida dental.
Enfermedades bucales comunes: gingivitis, periodontitis, caries y más
Gingivitis: es la inflamación de las encías causada por la placa en la boca. Las bacterias acumuladas dañan las encías, provocando inflamación y sangrado.
Periodontitis: es el avance de la gingivitis que causa retracción de las encías y destrucción del hueso que sostiene los dientes, lo que puede llevar a la pérdida dental.
Caries: son bacterias que afectan la estructura del diente y generan agujeros o cavidades. Las caries surgen cuando las bacterias metabolizan el azúcar en los dientes y producen un ácido que destruye el esmalte.
Halitosis: es el mal aliento causado por la proliferación excesiva de bacterias que generan azufre y producen un olor desagradable en la saliva.
Sensibilidad dental: la inflamación o retracción de las encías puede exponer los nervios de los dientes, causando sensibilidad a alimentos y bebidas calientes o frías.

¿Cómo eliminar el sarro dental y con qué frecuencia visitar al odontólogo?
El sarro dental debe ser eliminado con cuidado por un odontólogo utilizando herramientas especiales, como curetas, raspadores dentales y ultrasonido para quitar la placa de manera segura y efectiva.
Además de seguir una rutina de higiene bucal adecuada, es fundamental evitar la acumulación de sarro en los dientes asistiendo a un dentista o especialista en periodoncia cada 6 meses o, como máximo, una vez al año, para que el odontólogo limpie las áreas afectadas.
¿Cuáles son las mejores técnicas para cepillarse los dientes y prevenir la acumulación de sarro?
Impacto del sarro en la salud sistémica y bucal
El sarro puede contribuir al desarrollo de enfermedades sistémicas, como problemas cardíacos, debido a la inflamación crónica que genera en el organismo. Mantener una dieta baja en azúcares también ayuda a reducir la formación de sarro y mejorar la salud bucal.













