

Unos de los hábitos más importantes para mantener la longevidad es dormir bien. Aunque parece ser un lujo, descansar completamente debería ser más una necesidad vital para el cuerpo humano. Sin embargo, se vuelve casi imposible cumplirlo cuando se tiene bruxismodental.
La Organización Mundial de la Salud (OMS) resalta que dormir bien está directamente relacionado con vivir más y mejor. Por lo tanto, un sueño profundo y suficiente es uno de los pilares para la longevidad saludable, sumado a una buena alimentación, el ejercicio físico y control emocional.
Existe una condición ligada al estrés que no permite que las personas duerman plácidamente e, incluso, les arruina la dentadura. Dormir bien está directamente relacionado con vivir más y mejor.
¿Qué es el bruxismo?
El es bruxismo, una condición, caracterizada por apretar o rechinar los dientes, especialmente durante la noche. Sus efectos no sólo afectan los dolores en la mandíbula y la estética de los dientes, sino que esto va mucho más allá de la boca.
Esta apretada y rechinamiento de los dientes es totalmente involuntaria y suele ocurrir normalmente por las noches, mientras la persona consuela el sueño. Sin embargo, también puede ocurrir durante el día.

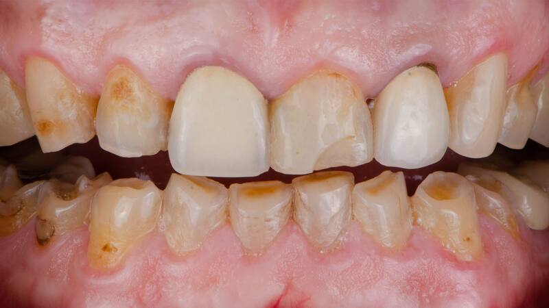
En ambos casos, suele ser consecuencia del estrés, la ansiedad o trastornos neuromusculares, y, muchas veces, pasa desapercibido hasta que sus efectos se vuelven visibles: dolor en la mandíbula, desgaste dental, cefaleas, fatiga y, en algunos casos, trastornos del sueño.
Según los médicos especialistas, el cuerpo entra en un estado de microalerta constante. A pesar de que las personas que sufren bruxismo no recuerdan nada al despertar, el sueño se fragmenta y no se alcanza la fase profunda y reparadora del descanso.
Las consecuencias del bruxismo en el sueño
El bruxismo interfiere con los ciclos del sueño REM, que son fundamentales para el procesamiento emocional y la consolidación de la memoria. Sufrir de insomnio y dormir fragmentado puede tener efectos negativos en la salud física y mental.
La consecuencia de haber dormido mal por el bruxismo son: agotamiento, irritabilidad, dificultad para concentrarse y menor resiliencia ante el estrés.
Diversos estudios científicos indican que una mala calidad de sueño sostenida en el tiempo no solo hace sentir más cansancio, sino que puede producir también "un mayor riesgo de hipertensión arterial, diabetes tipo 2, enfermedades cardiovasculares, depresión y trastornos de ansiedad, y debilitamiento del sistema inmune".

El bruxismo también ejerce un desgaste considerable sobre los músculos, articulaciones y piezas dentales, así como problemas crónicos tales como la disfunción temporomandibular (DTM), dolores cervicales e, incluso, pérdida de piezas dentarias, afectando no solo la estética, sino también la masticación y la digestión.
¿Cómo curar el bruxismo?
La terapia más aplicada contra el bruxismo es la aplicación de toxina botulínica en los músculos maseteros y temporales. La incorporación de esta herramienta terapéutica relaja la musculatura y disminuye la presión excesiva al dormir, sino que, además, mejora significativamente la calidad de vida de los pacientes al reducir dolores crónicos y prevenir el desgaste dental.
El tratamiento más efectivo se ve en la práctica clínica es el uso combinado de toxina botulínica con placa miorrelajante personalizada. Mientras la toxina reduce la actividad muscular excesiva y protege la articulación temporomandibular, la placa actúa como una barrera física que evita el desgaste dental y guía a los músculos hacia una posición más relajada.
Esta sinergia no solo protege las piezas dentarias, sino que mejora notablemente la calidad del sueño y el bienestar general del paciente, explica el Dr. Ariel Merino, odontólogo experto en estética dental, MN 34.869.
"Esta combinación es especialmente eficaz en pacientes con bruxismo severo, trastornos del sueño o antecedentes de daño articular, ya que aborda el problema desde múltiples ángulos: neuromuscular, funcional y protector", indica.
Una de las razones por las cuales es importante terminar para siempre con el bruxismo es la necesidad acabar con los descansos intermitentes, que pueden provocar un estado de estrés crónico en el cuerpo.
Esto puede generar envejecimiento celular, aumento de los niveles de inflamación sistémica y reducción de la capacidad del organismo para repararse.













