

En esta noticia
- ¿Qué es el sarro dental y por qué aparece?
- ¿Por qué el bicarbonato no sirve para sacar el sarro?
- ¿Cuál es el método definitivo para quitar el sarro de los dientes?
- ¿Qué enfermedades puede causar la acumulación de sarro?
- ¿Cada cuánto hay que ir al dentista para evitar el sarro?
- ¿Cómo lavarse bien los dientes para prevenir la formación de sarro?
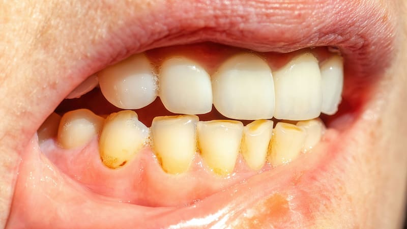
El sarro dental es uno de los problemas más comunes de la salud bucal y también uno de los más difíciles de eliminar. Aunque muchos recurren al bicarbonato u otros “remedios caseros”, los especialistas advierten que estos métodos no solo no son efectivos, sino que pueden dañar el esmalte.
¿Qué es el sarro dental y por qué aparece?
El sarro de los dientes es una placa bacteriana que se endurece y se mineraliza con el paso del tiempo. Se acumula principalmente en el borde entre los dientes y las encías, y no puede eliminarse solo con el cepillado común una vez que se solidifica.
Su aparición está relacionada con una higiene bucal deficiente, la falta de uso de hilo dental y los controles odontológicos poco frecuentes. Si no se trata a tiempo, puede generar problemas tanto estéticos como de salud.
¿Por qué el bicarbonato no sirve para sacar el sarro?
Aunque es muy popular, el bicarbonato no elimina el sarro dental. Al ser abrasivo, puede desgastar el esmalte de los dientes y provocar sensibilidad.
Lo mismo ocurre con el vinagre u otros productos caseros que circulan en redes sociales. Una vez que el sarro se adhiere al diente, solo puede ser removido con herramientas profesionales.
¿Cuál es el método definitivo para quitar el sarro de los dientes?
El único método efectivo y seguro para eliminar el sarro es la limpieza dental profesional. Este procedimiento lo realiza un odontólogo mediante instrumentos específicos como curetas, raspadores dentales y ultrasonido, que permiten remover la placa endurecida sin dañar las piezas dentales.
Los especialistas recomiendan realizar este tipo de limpieza cada seis meses o, como máximo, una vez al año, según la predisposición de cada persona a acumular sarro.
¿Qué enfermedades puede causar la acumulación de sarro?
La presencia prolongada de sarro en la boca puede derivar en distintas patologías:
- Gingivitis: inflamación y sangrado de encías por acumulación de bacterias.
- Periodontitis: una fase más avanzada que provoca retracción de encías y pérdida del hueso que sostiene los dientes.
- Caries: las bacterias generan ácidos que dañan el esmalte y forman cavidades.
- Halitosis: el exceso de bacterias produce mal aliento persistente.
- Sensibilidad dental: al quedar expuestas las raíces, aparecen molestias con alimentos fríos o calientes.
¿Cada cuánto hay que ir al dentista para evitar el sarro?
Además de mantener una buena rutina de higiene bucal en casa, lo fundamental es visitar al odontólogo de forma periódica. Lo ideal es hacerlo cada seis meses, aunque en algunos casos puede extenderse a una vez al año si no hay factores de riesgo.
Estas consultas permiten eliminar el sarro acumulado y prevenir enfermedades que pueden terminar en la pérdida de piezas dentales.

¿Cómo lavarse bien los dientes para prevenir la formación de sarro?
Una correcta higiene diaria es clave para evitar que la placa se transforme en sarro:
- Cepillarse los dientes después de cada comida y antes de dormir, con movimientos cortos y suaves.
- Usar cepillos de cerdas suaves o medianas y evitar ejercer demasiada presión.
- Limpiar cuidadosamente la línea entre diente y encía.
- Utilizar hilo dental al menos una vez por día para eliminar la placa entre los dientes.
- Cepillar la lengua para remover bacterias y restos de comida.













