

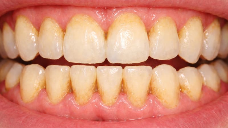
El sarro de los dientes consta de una película o placa bacteriana mineralizada que se adhiere y afecta al espacio entre las encías y los dientes.
En ese sentido, esta condición afecta no solo a la apariencia de la dentadura, sino que también, puede derivar en graves problemas de salud bucal, y eventualmente, puede hacer que se caigan los dientes si no es removido a tiempo.
Una buena forma de evitar que se forme el sarro es a través de una correcta higienización de los dientes mediante el cepillado de dos o tres veces por día y el uso de hilo dental.
Sin embargo, muchas veces esto no es suficiente para remover la placa. Es por eso, que distintos especialistas han intentado encontrar el mejor método para eliminarlo.

¿Cómo eliminar el sarro de los dientes?
El portal digital de salud CuídatePlus ha explicado que se han viralizado algunos trucos caseros para eliminar el sarro de los dientes como el uso de bicarbonato de sodio.
Según han señalado, algunos expertos recomiendan mojar el cepillo de dientes en agua tibia e introducirlo en una mezcla de bicarbonato de sodio y sal puede ayudar a prevenir y eliminar parte del sarro de los dientes. Además, señalan que el limón puede ser un blanqueador dental casero.
Sin embargo, han compartido la opinión de la odontóloga Michelle Pawly sobre esta problemática: “Una vez que la placa bacteriana se endurece y se transforma en sarro, no es posible eliminarla con productos o alimentos en casa“. Debido a esto, Pawly asegura que su eliminación “solo puede realizarse en el dentista mediante una limpieza dental profesional".
Según ha detallado, en este procedimiento "se utilizan instrumentos especializados, como aparatos sónicos y ultrasónicos, que generan ondas vibratorias capaces de romper y desprender el sarro de los dientes".

¿Cuáles son las consecuencias de tener sarro en los dientes?
Según el portal de salud Healthline, los depósitos de sarro, acumulados detrás y entre los dientes, se ven de color amarillo o marrón.
De ese modo, tanto el sarro como su precursor, la placa, pueden dañar gravemente la salud dental y como consecuencia, provocar los siguientes síntomas:
- Causa mal aliento, debido a la acumulación de bacterias.
- Destruye el esmalte.
- Provoca sensibilidad dental, caries e incluso la pérdida de piezas dentales.
- Favorece la enfermedad de las encías.














