

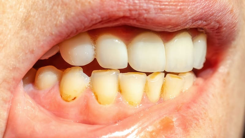
Con el paso del tiempo, los dientes pueden presentar manchas amarillas causadas por el consumo frecuente de café, té, vino o tabaco, lo que afecta su aspecto y resulta difícil de revertir con el cepillado regular.
Sin embargo, existe un truco altamente efectivo y muy fácil de aplicar, sin necesidad de recurrir a productosblanqueadores agresivos ni a fórmulas difíciles de conseguir.
Este método de limpieza es sugerido por su uso de ingredientes simples como el ácido cítrico en polvo, que actúa como un agente natural para eliminar manchas superficiales de los dientes.
El método casero para dejar el baño impecable y libre de sarro
Un método cada vez más popular de limpieza para estos casos es utilizar ácido cítrico en polvo, un producto fácil de conseguir. Se consigue en dietéticas, casas de productos naturales o tiendas online.

El ácido cítrico en polvo, extraído principalmente de frutas cítricas como el limón, tiene propiedades limpiadoras que pueden ayudar a reducir el amarillamiento superficial de los dientes. Su capacidad para disolver manchas se debe a su acidez, que permite eliminar residuos de alimentos, café, vino o tabaco.
Sin embargo, debe usarse con precaución, ya que un uso frecuente o mal aplicado puede debilitar el esmalte dental y causar sensibilidad. Su aplicación ocasional, bien dosificada, puede ofrecer resultados visibles en la limpieza bucal.
Paso a paso cómo usar ácido cítrico en polvo en los dientes
- Coloca 1/4 de cucharadita de ácido cítrico en polvo en un recipiente pequeño.
- Agrega unas gotas de agua hasta formar una pasta ligera.
- Aplica la mezcla sobre los dientes con un cepillo dental de cerdas suaves.
- Cepilla suavemente durante unos 30 segundos, sin tocar las encías.
- Enjuaga bien la boca con abundante agua para eliminar todo residuo ácido.
- Evita comer o beber durante al menos 30 minutos después.
- Repite este proceso no más de una vez por semana para prevenir daños al esmalte.
Cómo mantener los dientes blancos día a día
El cepillado de dientes dos veces al día es clave para mantener los dientes limpios, así como el uso de hilo dental. Aun así, existen otros consejos que pueden ayudar en tu salud bucal.

Sigue estos consejos para mantener tus dientes blancos:
- Cepíllate los dientes después de consumir alimentos o bebidas con pigmento, como café, vino tinto o té.
- Evita fumar o consumir tabaco, ya que oscurece el esmalte y produce manchas difíciles de remover.
- Usa pastas dentales blanqueadoras suaves, con ingredientes como bicarbonato de sodio.
- Incluye frutas y verduras crujientes en tu dieta, como manzanas o zanahorias, que ayudan a limpiar los dientes de forma natural.
- Visita al odontólogo cada seis meses para limpiezas profesionales que eliminan sarro y manchas profundas.













