

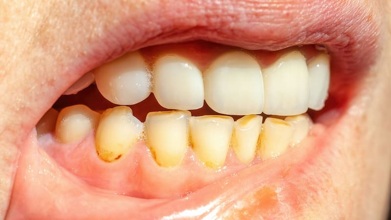
Con el paso del tiempo, la acumulación de sarro y manchas amarillas en los dientes se convierte en un problema común en Colombia, afectando tanto la estética como la salud bucal.
Aunque el cepillado regular es indispensable, muchas personas buscan alternativas naturales que permitan complementar la higiene diaria y mejorar la apariencia de la sonrisa.

¿Cómo se puede eliminar el sarro de los dientes?
Una de las opciones más mencionadas recientemente es el uso de ácido cítrico en polvo, un producto natural derivado de frutas como el limón. Este ingrediente actúa como agente limpiador, capaz de reducir el amarillamiento superficial de los dientes y eliminar restos de pigmentos provocados por bebidas como café, té o vino, además del tabaco.
El procedimiento es sencillo:
- Coloca un cuarto de cucharadita de ácido cítrico en un recipiente.
- Añade unas gotas de agua hasta formar una pasta ligera.
- Aplica la mezcla con un cepillo de cerdas suaves.
- Cepilla suavemente durante 30 segundos, evitando las encías.
- Enjuaga con abundante agua.
Este método debe aplicarse solo una vez por semana para prevenir la erosión del esmalte dental y la sensibilidad. Aunque es eficaz, no reemplaza la limpieza profesional que realiza el odontólogo.
¿En qué casos el sarro es peligroso?
El sarro no sólo altera el color de los dientes, sino que también puede desencadenar problemas de salud bucal más graves. Cuando no se controla, acumula bacterias que generan mal aliento, caries y enfermedades en las encías como gingivitis o periodontitis.
La señal de alerta más común es la aparición de una capa dura y amarillenta en la base de los dientes que no desaparece con el cepillado. En esos casos, es fundamental acudir a un especialista para una limpieza profesional, ya que los métodos caseros no logran remover el sarro endurecido.

¿Qué tener en cuenta para mantener los dientes blancos y libres de sarro?
- Cepillarse dos veces al día con pasta dental adecuada.
- Usar hilo dental para eliminar residuos entre los dientes.
- Reducir el consumo de café, té y vino, bebidas que manchan el esmalte.
- Evitar fumar o mascar tabaco, principales causantes de manchas profundas.
- Consumir alimentos crujientes como manzanas o zanahorias, que ayudan a limpiar de manera natural.
- Realizar visitas al odontólogo cada seis meses para chequeo y limpieza profesional.
Mantener una sonrisa saludable requiere constancia, buenos hábitos y, en algunos casos, trucos naturales como el ácido cítrico en polvo. Sin embargo, la recomendación principal siempre será complementar estos métodos con la consulta periódica a un especialista.









