

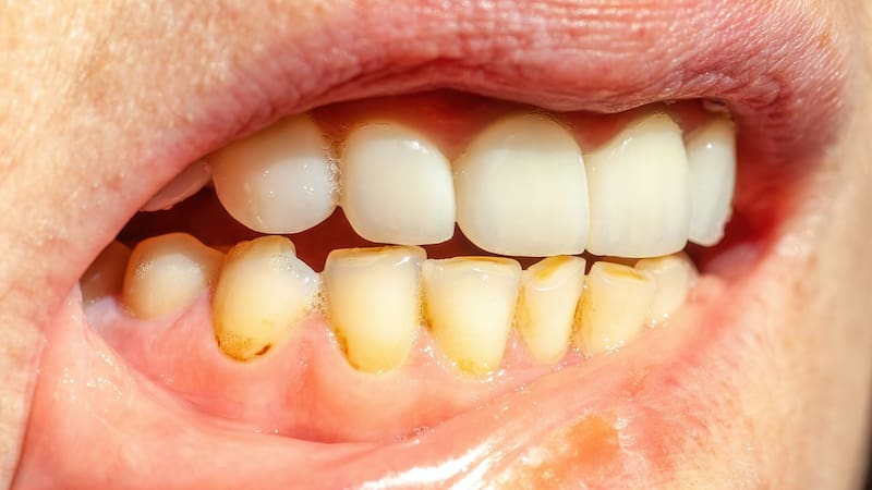
El sarro dental no solo afecta la estética de la sonrisa, sino que puede tener consecuencias serias para la salud bucal. Su presencia está relacionada con enfermedades periodontales, pérdida de dientes y otros problemas que van más allá del mal aliento.
Según expertos, el sarro es una placa bacteriana mineralizada que se adhiere a los dientes y encías, especialmente si la higiene no es constante y correcta. Aunque existen muchos remedios caseros, una vez endurecido, solo puede eliminarse mediante limpieza dental profesional.

Cómo eliminar el sarro de los dientes de forma eficaz
El portal de salud CuídatePlus ha compartido algunos métodos populares, como el uso de bicarbonato de sodio, sal o incluso limón como blanqueador natural. Sin embargo, la odontóloga Michelle Pawly advierte que estos recursos son limitados: “Una vez que la placa se mineraliza y se convierte en sarro, no puede eliminarse con remedios caseros”.
La forma más eficaz de eliminar el sarro consiste en acudir a un profesional, que utilizará instrumentos ultrasónicos y dispositivos sónicos. Estas herramientas generan vibraciones controladas que desprenden el sarro adherido sin dañar el esmalte dental. Este procedimiento se denomina profilaxis dental y debe realizarse de forma periódica.
Por qué es importante eliminar el sarro
El sitio Healthline destaca que el sarro no solo causa manchas amarillentas o marrones, sino que también favorece la aparición de:
- Mal aliento crónico por acumulación bacteriana
- Pérdida de esmalte dental
- Caries y sensibilidad dental
- Inflamación de encías y enfermedades periodontales
Estas consecuencias pueden prevenirse con una buena higiene bucal diaria, que incluya el uso de hilo dental y cepillado al menos dos veces al día, aunque incluso esto puede no ser suficiente.
Recomendaciones profesionales para prevenir el sarro
Para mantener una boca sana, los especialistas recomiendan:
- Realizar una limpieza profesional cada seis meses
- Usar cepillos de dureza media y cambiar el cabezal cada tres meses
- Aplicar pastas dentales con flúr y acción antiplaca
- Evitar el consumo excesivo de azúcares y tabaco

En definitiva, aunque existen muchos consejos circulando en internet, los profesionales coinciden: el sarro debe ser tratado por un odontólogo y no con métodos caseros. La prevención sigue siendo la mejor herramienta para conservar la salud bucal a largo plazo.




